
Clínica Odontológica em Jundiaí com atendimento completo e serviços dentísticos integrados para cada paciente.


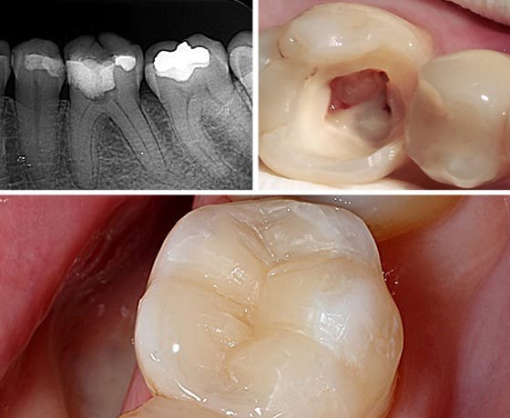
Tratamento do canal dentário, indicado para casos de dor intensa, infecções ou cárie profundas. O objetivo é preservar o dente natural e eliminar a infecção.

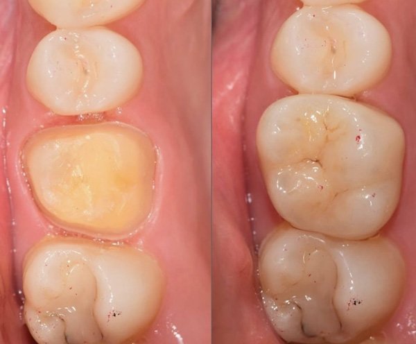
Recuperação de dentes danificados por cárie, fraturas ou desgaste, devolvendo função, estética e saúde bucal com restaurações modernas e duráveis.

Procedimento estético que torna os dentes mais brancos e dá brilho ao sorriso, removendo manchas e pigmentações causadas por alimentos, bebidas ou tempo.

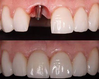
Colocação de implantes dentários para substituir dentes perdidos, garantindo mastigação adequada, estética e qualidade de vida.

Inclui pinos, coroas e próteses removíveis, devolvendo ao paciente estética e função mastigatória em casos de perdas dentárias múltiplas ou severas.

Terapia complementar com ozônio medicinal, aplicada em todo o corpo. Auxilia no fortalecimento da imunidade, melhora da circulação, combate inflamações e regeneração tecidual.

Técnica avançada que utiliza o próprio plasma do paciente para estimular a regeneração celular, aumentar a firmeza da pele e melhorar a qualidade do tecido.

A profilaxia é a limpeza profissional dos dentes, realizada no consultório odontológico que remove placas bacterianas, tártaro e manchas superficiais que não saem apenas com a escovação diária.

Formada em Enfermagem desde 2012, com especialização em UTI pelo Instituto Sírio Libanês, a Dra. Luana construiu sua carreira em ambientes de alta complexidade, onde precisão e cuidado fazem diferença entre vida e morte.
Nos últimos anos, decidiu unir essa bagagem à Odontologia, formando-se Cirurgiã-Dentista e trazendo para o consultório um diferencial único: segurança clínica, visão multidisciplinar e atenção integral ao paciente.

Toque no botão e agende uma avaliação odontológica gratuita. para garantir queque você saiba suas opções antes de iniciar qualquer procedimento, com total transparência e segurança.
Você vai aprender como agir de forma segura, com protocolos claros, e ainda vai ter com quem contar na dúvida. Não vai precisar enfrentar nada sozinha.
Sim, o curso é pensado pra quem está começando do zero ou já fez, mas nunca se sentiu 100% segura.
Você tem 7 dias pra assistir, testar, sentir. Não gostou? Só pedir o dinheiro de volta. Sem burocracia.
As aulas são curtas, objetivas, e você pode acessar quando quiser. Não precisa virar sua rotina de cabeça pra baixo.
Tem grupo de apoio, tem professora que responde. Você vai ser ouvida, não vai ficar sozinha.